Нам 20 лет!
Имплантация — 20 000 ₽

Москва ул. Соловьиная Роща, д.2
Пн-Пт: 900–2100 Сб: 1000–1800 Вс: Выходной

Запись на бесплатную консультацию:

Перезвоните мнеЗаписаться on-line
Меню

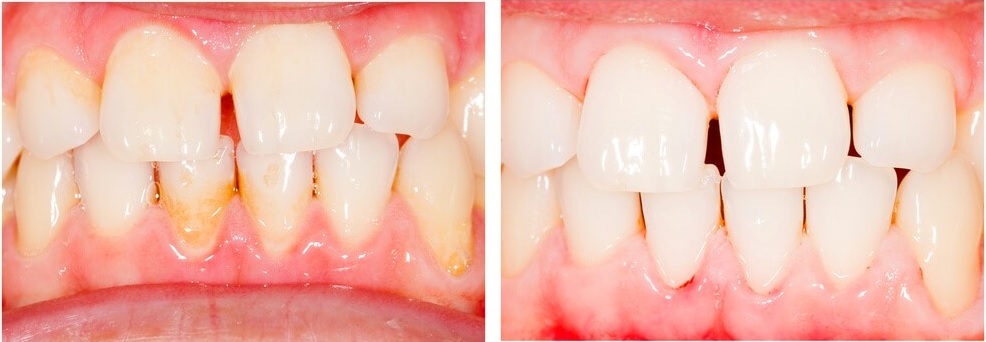
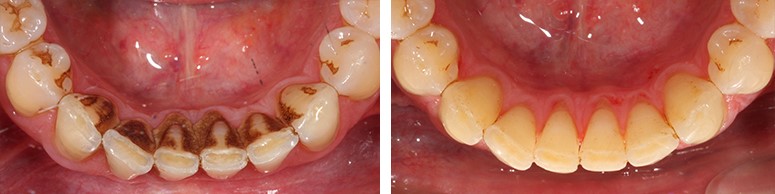
Профессиональная гигиена полости рта: цены стоматологии

ZOOM 3  27 000 рублей*

* Комплексное отбеливание зубов

ПодробнееЗаписаться на консультацию

ПЕРВЫЙ ВИЗИТ 7 000 рублей
ПОВТОРНЫЙ ВИЗИТ 6 000 рублей

Air Flow + Ультразвуковая чистка + Укрепление эмали

ПодробнееЗаписаться на консультацию

ЦЕНЫ НА ОКАЗАНИЕ УСЛУГ ПО ГИГИЕНЕ И ОТБЕЛИВАНИЮ ЗУБОВ

I. Гигиена полости рта, профессиональная чистка зубов

Наименование Стоимость, руб.
Профессиональная гигиена полости рта и зубов первично 7000
Профессиональная гигиена полости рта и зубов повторно 6000
Удаление наддесневых и поддесневых зубных отложений (1 зуба) 300
Избирательное полирование зуба (пастой Детартрин) 200
Глубокое вторирование эмали зуба 200
Электроодонтометрия зуба 200
Временное шинирование при заболеваниях пародонта 1500
Профессиональное отбеливание зубов (ZOOM) 27000
Свиридова Нина Владимировна, стоматолог-терапевт
стоматолог-терапевт

КЛИНИКА ДЕНТАЛЬНОЙ ИМПЛАНТАЦИИ "АПЕКС-Д"

Записаться на бесплатную совместную консультацию для составления плана лечения Вы можете у администратора по телефону:
+7 (495) 749-07-12
+7 (495) 585-02-51
или онлайн

Записаться на прием
Вопросы и ответы по данной теме: Отбеливание зубов, ZOOM

Запишитесь на бесплатную консультацию

Представьтесь, пожалуйста *
Телефон *
Опишите Вашу ситуацию *

Записаться на приём в стоматологию Апекс-Д Вы также можете по телефонам: +7 (495) 749-07-12, +7 (495) 585-02-51,

написав нам в мессенджеры и социальные сети:

или же отправить заявку он-лайн.

Наш администратор свяжется с вами по указанному телефону и согласует дату и время приема.

Перезвоните мне

Представьтесь, пожалуйста *
Телефон *
Удобное время звонка